REHABILITACIÓN

Proceso de Rehabilitación

Esta sección es para mostrarle varios ejemplos de cómo pueden ser restaurados uno o múltiples dientes con la ayuda de implantes dentales. Los ejemplos individuales estarán señalados con fotos de antes y después. Para empezar necesitamos clasificar las diferentes prótesis disponibles. Así puede tener una mejor comprensión, de algunos casos que hemos realizado.

Existen tres categorías principales que necesitamos distinguir para nuestros propósitos:

  • Prótesis fijas
  • Prótesis Removibles
  • Prótesis fijas-removibles

Las prótesis fijas son, como su nombre los indica, fijas al implante dental y el paciente no puede removerlas (sin embargo el doctor normalmente puede removerlas). Dentro de esta categoría entran las reposiciones de un solo diente así como la de múltiples dientes.

Las prótesis fijas son generalmente las prótesis más solicitadas en la reconstrucción con implantes, sin embargo dependiendo de cada caso particular ésta puede ser no siempre la indicada. Los dientes múltiples en fila son normalmente unidos en un puente, fijos a los implantes. Abajo se ven varios ejemplos de prótesis fijas.

Paciente #1

En este caso el paciente es de sexo femenino de 45 años de edad con dos incisivos congénitamente faltantes. La paciente utilizaba una prótesis removible y decidió colocarse implantes para tener mayor comodidad.

caso 1-1

Una vez colocados los implantes se removieron las suturas diez días después de la cirugía. Al mes y medio se realizó el procedimiento para exponer la cabeza del implante y para la colocación ya sea, de un aditamento de cicatrización o de una corona temporal, diseñados para darle forma a la encía para crecer alrededor del la futura prótesis.

Las coronas provisionales se dejaron por aproximadamente ocho semanas antes de tomar las impresiones finales para las prótesis o coronas definitivas.

En cuanto los tejidos tienen una condición favorable, se toma la impresión final con la ayuda de los componentes especializados para la transferencia de la impresión, los cuales son conectados a los implantes análogos para grabar la posición de los implantes. Los implantes análogos son componentes de metal que duplican la posición exacta y la morfología del cuello de las fijaciones del implante tal como es en la boca del paciente.

Posteriormente el técnico de laboratorio elaboró los aditamentos, los cuales van a unir las fijaciones del implante en la boca por medio de tornillos. Las coronas son cementadas sobre los aditamentos acostumbrados.

Los tornillos son luego conectados a los implantes por medio de un valor de torquímetro para asegurar los componentes sobre los implantes. Esto último es muy importante para prevenir un aflojamiento futuro de los tornillos.

Finalmente se sella el acceso a los tornillos y las coronas de porcelana son cementadas.

caso 1-2
caso1-3

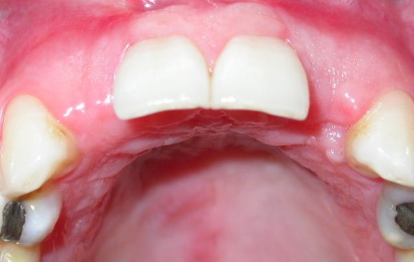
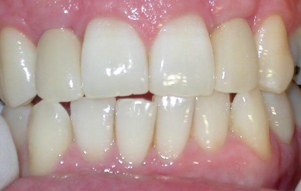
Paciente #2

En el siguiente caso se muestran imágenes de una paciente de 35 años de edad, la cual perdió los dientes centrales y laterales del maxilar. La paciente quería una prótesis fija con alta estética. Le mostraremos a continuación la secuencia de este tratamiento.

Paciente que perdió dientes centrales y laterales superiores

Radiografía con los Implantes Dentales colocados

Tornillos de cicatrización colocados sobre los implantes

Coronas finales colocadas sobre los Implantes Dentales

Foto final de la rehabilitación

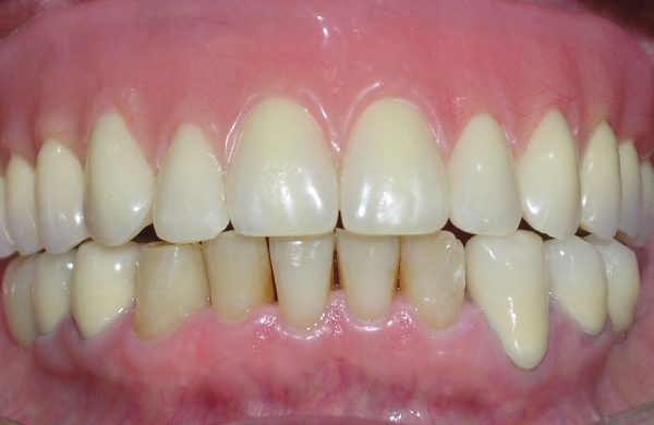
Paciente #3

En este caso tenemos una paciente de 47 años de edad, la cual padecía periodontitis severa. Se le realizó el tratamiento periodontal, los dientes inferiores se conservaron pero en la parte superior la mayoría de los dientes se tuvieron que extraer debido a la gravedad de la enfermedad y la gran movilidad que los dientes presentaban.

caso 3-1

Debido a la enfermedad periodontal la paciente perdió mucho hueso, por lo cual se en la parte superior se realizaron elevaciones de senos maxilares (ver injertos óseos), para poder colocar implantes dentales y así sustituir los dientes perdidos.

caso 3-3

Después de 8 meses debido a las elevaciones de seno, se rehabilitó a la paciente colocando una prótesis fija cementada a los implantes.

Los ejemplos anteriores muestran que una prótesis fija soportada por implantes dentales las cuales se ven muy naturales.

Existen muchas más maneras de construir una prótesis fija para implantes, sin embargo, los conceptos generales permanecen siendo los mismos.

Las prótesis removibles son unidas a los implantes de tal manera que permiten al paciente quitarlas en cualquier momento. Esto quiere decir que estás prótesis van apoyadas sobre los implantes para darles retención al igual que se apoyan en los tejidos blandos.

Como se mencionó anteriormente, uno se inclina más por una restauración fija, sin embargo en ciertas situaciones comprometedoras se tienen que elaborar este tipo de dentaduras que pueden beneficiar al paciente enormemente. Abajo pueden ver otra vez varios ejemplos de Prótesis Removibles para implantes.

Paciente #4

Aquí presentamos un paciente de 65 años de edad, el cual nos mencionó que su dentadura inferior se le movía, le lastima al comer y al hablar.

caso 4-1

Se le colocaron cuatro implantes para darle mayor retención a la nueva dentadura, además de cinco implantes transicionales con el objetivo de que el paciente pudiera utilizar una dentadura provisional durante el tiempo de oseointegración de los implantes permanentes. El tiempo de oseintegración fue de un mes y medio.

caso 4-2

Despues del mes y medio se colocaron a los cuatro implantes, unos aditamentos retentivos, los cuales le proporcionan a la dentadura mayor retención evitando que se mueva al hablar y al comer.

Las prótesis fijas-removibles (semi fijas) se encuentran generalmente en una reconstrucción total de boca para aquellos pacientes que tienen, ya sea una o ambos maxilares sin dientes. Esta prótesis es generalmente soportada por implantes (con poco o ningún contacto con el tejido, tal como una prótesis fija), sin embargo el paciente o el doctor pueden remover parte de la prótesis para su higiene. La prótesis generalmente consiste de dos partes una de metal retentiva (algún tipo de barra unida a los implantes) que no es movible y la otra parte en la cual están los dientes y es removible. Esta última se encaja sobre la parte metálica (conectada a los implantes) y permanece conectada a la parte metálica por medio de mecanismos de fricción y /o clips de retención. Las siguientes imágenes ilustran esto de mejor manera.

Paciente #5

La siguiente paciente es una Señora. de 65 años de edad, la cual no tenía dientes en el maxilar y utilizaba una dentadura total convencional, la cual cubre el paladar totalmente. La paciente quería otra opción protésica ya que el paladar de la dentadura le ocasionaba nauseas además de que perdía el sabor de los alimentos.

Se le colocaron siete implantes para realizarle una dentadura sin paladar, la cual es más delgada y el paladar queda libre.

caso 5-2

Se unieron estos implantes por medio de dos barras de oro, para soportar la dentadura y darle mayor retención.

caso 5-3
caso 5-4
caso 5-5

Paciente #6

Aquí tenemos otro caso de una paciente de 65 años de edad a la cual se le colocaron 12 implantes. Seis de ellos en el maxilar para soportar una dentadura sin paladar y los otros seis en las partes posteriores de la mandíbula para colocarle prótesis fijas cementadas.

Prótesis removibles mal ajustadas y antiestéticas

Radiografía con los 12 implantes colocados

Barras de oro colocadas sobre los implantes

Dentadura sin paladar para mayor comodidad

Dentadura sin paladar de acrílico en la boca

Implantes inferiores lado izquierdo

Coronas en implantes inferiores izquierdo

Implantes inferiores lado derecho

Coronas en implantes inferiores derecho

Foto final con la rehabilitación

Foto final de la sonrisa

Los ejemplos anteriores son una simple representación de las tres diferentes categorías. Existen varias formas de elaborar estas prótesis con algunas variantes a las mostradas anteriormente, sin embargo, el concepto todavía permanece el mismo. Un factor a considerar es que el maxilar superior tiene que estar diseñado de acuerdo al número de implantes colocados, debido al hecho de que el hueso no es tan denso en el maxilar superior como el de la mandíbula. Dependiendo el tamaño del maxilar, se pueden colocar de 4 a 8 implantes, para una prótesis fija-removible en el maxilar superior.