INJERTO DE HUESO

¿En que consiste el Injerto de Hueso?

Regeneración-ósea-o-injerto-de-hueso-para-implantes-dentales

Cuando se pierden dientes con el paso de los años el hueso empieza a reducirse. Al igual que el paciente que utiliza prótesis removibles o dentaduras completas a través de los años, el volumen del hueso disminuye, ya que estás prótesis se apoyan en la encía y en el hueso.

Actualmente los procedimientos de injertos óseos han llegado a ser parte integral de la reconstrucción con implantes, esto es, sí el sito potencial para la colocación del implante no ofrece suficiente volumen o cantidad de hueso para colocar un implante, esto debido a la destrucción del hueso que tiene lugar por la falta de uno o más dientes. Los procedimientos de injertos óseos tratan de restablecer la dimensión del hueso perdido por el desgaste.

Hace muchos años la falta de hueso hacía imposible la colocación de implantes, ahora tenemos la capacidad de crear hueso donde lo necesitemos, además de dar la oportunidad de colocar implantes de dimensiones adecuadas y también nuestra prótesis resulta mejor en apariencia y funcionalidad.

Materiales para aumentar hueso

Tenemos cinco categorías diferentes:

  • Hueso autógeno
  • Aloinjerto
  • Xenoinjerto
  • Aloplásticos
  • Factores de crecimiento

El hueso autógeno está considerado como el injerto ideal. Es transplantado de un sitio donador al sitio receptor del mismo paciente. Los mayores rangos de éxito se han logrado con injertos autógenos. No existe reacción de rechazo y la estructura microscópica coincide perfectamente. La única desventaja es que tiene que ser tomado de otra parte del cuerpo lo cual implica una cirugía más complicada.

Para propósitos de la implantología oral podemos usar hueso de otra parte de la mandíbula (mentón o las porciones posteriores de la mandíbula) para evitar heridas extraorales.

El aloinjerto se define como el injerto entre individuos de la misma especie, pero con composición genética diferente, normalmente es hueso de cadáver. Este hueso tiene que ser sometido a muchos tratamientos para lograr su neutralidad e inmunidad y así evitar contaminación de enfermedades del receptor.

El xenoinjerto se define como el injerto de tejido entre dos diferentes especies (hueso de origen bovino).

Los aloplásticos generalmente incluye material de injerto sintético que no proviene de origen animal o humano. Normalmente Hidroxiapatita.

Los factores de crecimiento son proteínas naturales que se encuentran en nuestro cuerpo y estimulan el crecimiento de ciertos tejidos estás son las Proteínas Morfogenéticas óseas (BMPs), éstas pueden ser un substituto potencial como material para los injertos autógenos.

Elevación de Seno

Al perder dientes, nuestros senos maxilares crecen en volumen y eliminan valioso hueso del reborde del maxilar. Este proceso se llama neumatización de los senos maxilares.

Lo anterior hace difícil pero no imposible la colocación de implantes endoóseos.

La elevación de seno se utiliza para elevar la parte inferior del seno, se injerta hueso debajo para crear suficiente espacio para colocar uno o más implantes dentales.

Este procedimiento se ha llevado a cabo exitosamente por más de dos décadas y es considerado un método aceptado y predecible de injerto óseo.
Un injerto de hueso autógeno da los mejores y más rápidos resultados. Un injerto autógeno se lleva aproximadamente de 4 a 6 meses en madurar dentro del seno, un injerto de hueso alogénico, aloplástico o xenogénico puede tomar 9 meses o más.

Los procedimientos de elevación de seno y la colocación de implantes se pueden llevar a cabo en un solo procedimiento siempre y cuando exista suficiente hueso entre borde del maxilar superior y base del seno disponible para estabilizar bien los implantes. En caso de no tener suficiente hueso disponible, la elevación de seno se tendrá que llevar a cabo primero, luego dejar madurar por varios meses (dependiendo del material usado). Una vez que el injerto ha madurado se pueden colocar los implantes.

Aquí se muestra la altura normal de hueso por debajo del seno cuando hay dientes

Desgaste del hueso cuando se pierden los premolares y molares

Colocación de injerto dentro del seno maxilar para poder colocar los implantes

Implantes colocados hueso

Coronas sobre los implantes hueso

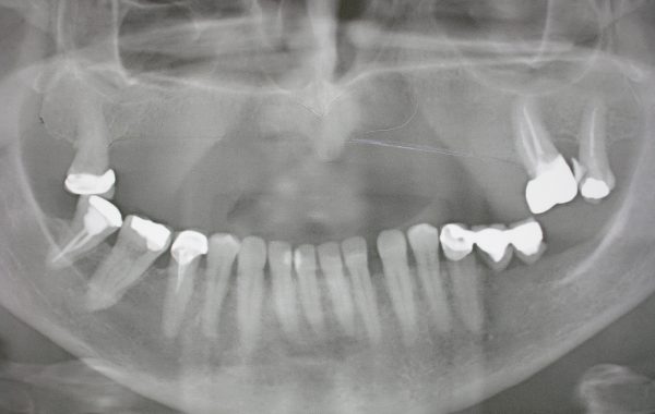
Paciente #1

Ahora presentaremos las radiografías de una paciente de 55 años donde se aprecia la falta de hueso por debajo de los senos maxilares debido a la ausencia de los dientes, como mencionamos este proceso de pérdida de hueso es normal y no es patológico. Después apreciamos la radiografía donde se hace el procedimiento de elevación de seno maxilar donde se aprecia la colocación del injerto con los implantes ya colocados.

injerto paciente 1-1

Aquí se observa la poca cantidad de hueso por debajo de los senos maxilares

injertopaciente 1-2

Nótese el injerto colocado obteniendo mayor altura para la colocación de los implantes

Paciente #2

Aquí presentamos una radiografía de un paciente de que perdió los dos molares superiores izquierdos.

injerto paciente 2-1

Aquí se observa la poca cantidad de hueso por debajo de los senos maxilares

injerto paciente 2-2

Nótese el injerto colocado obteniendo mayor altura para la colocación de los implantes

Injertos en Bloque

Conocido también como injerto onlay. Este tipo de injerto esta diseñado para reestablecer el hueso perdido en un área particular debido al desgaste. Una porción de hueso autógeno (normalmente del mentón o de la parte posterior de la mandíbula) se une al sitio con el defecto óseo.

Posteriormente se cierra el área y se deja madurar por un período de y cicatrización, este hueso será incorporado en el lugar receptor para ser integrado y mineralizado, así los implantes podrán ser colocados.

En el caso de áreas más grandes se necesitarán más porciones de hueso autógeno, tomadas de la cadera o la tibia del paciente. En este punto se pueden utilizar otras modalidades de implantes (subperiósticos, en forma de rama,) para evadir este procedimiento quirúrgico.

Este procedimiento es ampliamente usado para tratar bordes óseos con demasiado desgaste de hueso en el maxilar superior e inferior. Es normalmente necesario antes de la colocación de implantes para asegurar el posicionamiento del implante y una mejor estética de la futura prótesis.

injerto en bloque 1

Zona Donadora

injerto en bloque 2

Zona Receptora

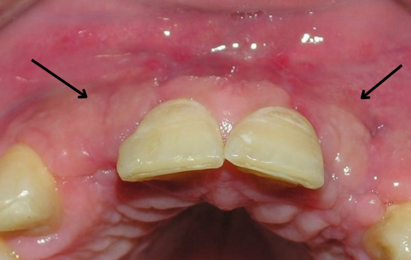
Paciente con ausencia congénita de laterales. Nótese la gran depresión del hueso

Diseño sin título (1)

Aquí observamos el aumento de hueso debido al injerto de bloque de mentón

A pesar de que este procedimiento es ampliamente usado hoy en día con gran éxito, estamos constantemente tratando de incrementar y facilitar los procedimientos de injertos tanto para los pacientes como para el cirujano.

Expansión de Reborde

Esta técnica es usada para restaurar la dimensión del hueso perdido cuando el borde del maxilar es muy delgado, para colocar implantes convencionales. El borde del maxilar es literalmente expandido por medios mecánicos. Una serie de expansores u osteotomos son forzados en el sitio del implante, estos expansores son golpeados dentro del borde por medio de una cirugía. Esto comprime la parte esponjosa del hueso y hace surgir la corteza exterior. En este punto se pueden colocar los implantes inmediatamente dentro del sitio creado.

Otros procedimientos de injertos

En esta categoría comprenden todos los demás procedimientos de injertos. Por ejemplo cuando un implante es colocado inmediatamente en el sitio de un diente extraído, la mayoría de la veces existe discrepancia entre el diámetro del implante y el diámetro de dicho sitio, lo cual se traduce en un espacio entre la pared del implante y la pared del hueso, estos espacios son usualmente llenados con material de injerto óseo.

Fractura de la corona del central

Implante dental colocado inmediatamente después de la extracción de la raíz

Otro procedimiento es cuando el implante es colocado dentro del hueso y no queda completamente cubierto por hueso y existe exposición de las roscas del implante. En la mayoría de los casos son cubiertos o injertados con membrana. Mientras el implante se integra en el hueso, la membrana le permite al hueso remodelarse y crecer debajo evitando a las células de los tejidos blandos ser inhibidas en su proceso.