ATENDEMOS CASOS DIFÍCILES

ATENCIÓN DEL DR. ALEJANDRO RODRÍGUEZ DEL REY.
Mas de 0 Años

De Experiencia

CLÍNICA DE ESPECIALIDADES DENTALES

IMPLANTES DENTALES Y PERIODONCIA

Clínica, especializada en Periodoncia e Implantes Dentales y Diseño de Sonrisa para cuidar de la salud bucal y la estética de nuestros pacientes. Como expertos en el campo, nos dedicamos a proporcionar tratamientos avanzados y personalizados para garantizar sonrisas saludables y hermosas.

SomosEspecialistas en:

PERIODONCIA

Solución a Infecciones, Gingivitis, Periodontitis, Sagrado de encías, Mal aliento y movilidad dental

IMPLANTES DENTALES

La mejor solución para sustituir los dientes perdidos.

PRÓTESIS DENTALES

Rehabilitaciones totales para obtener una mejor funcionabilidad 

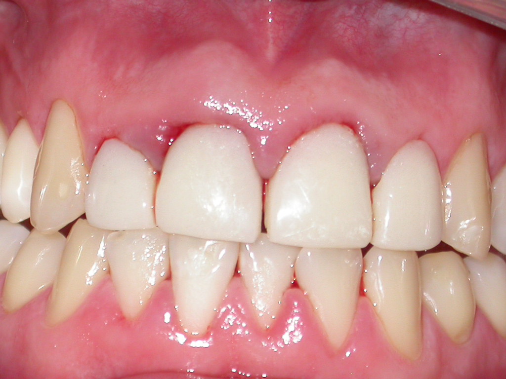
ESTÉTICA DENTAL

Diseño de sonrisa, Carillas, Coronas, Mejora tu seguridad y autoestima.

¿PERDISTE TODOS TUS DIENTES?

Agenda tu cita de valoración y comienza a disfrutar de una sonrisa otra vez
EL DR. ALEJANDRO RODRÍGUEZ DEL REY HA COLOCADO

MÁS DE 2000 IMPLANTES CON ÉXITO

TRATAMIENTOS CON SEDACIÓN

Experimenta la máxima comodidad y tranquilidad en tus tratamientos dentales con nuestros tratamientos con sedación. Recibe cuidados odontológicos con seguridad bajo sedación, para estar libre de estrés y recibir el cuidado dental necesario sin preocupaciones.

IMPLANTE POST-EXTRACCIÓN CARGA INMEDIATA

Procedimiento en odontología que permite la colocación de un implante dental y una prótesis provisional en el mismo día. Permite que el paciente salga de la clínica con dientes temporales fijados al implante de manera casi inmediata

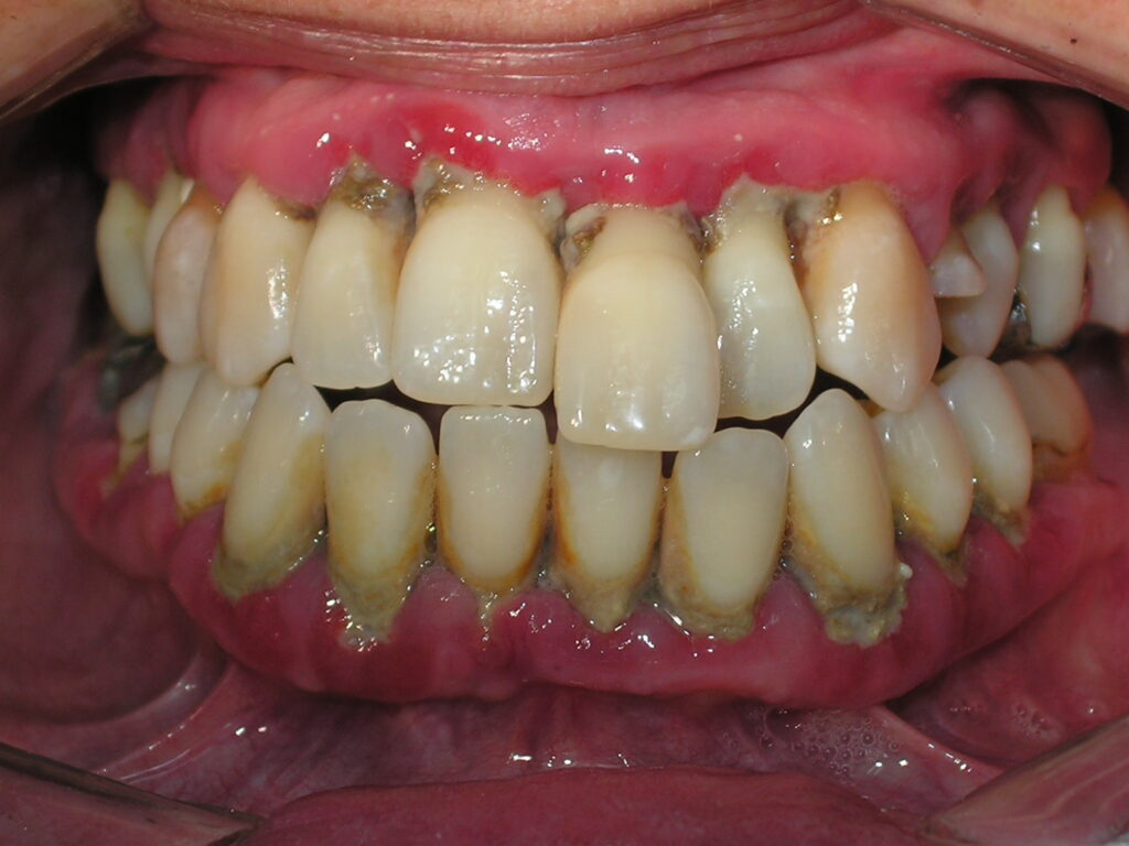
GINGIVITIS

La gingivitis es una infeccion que provoca que las encias se pongan rojas, inflamadas y que sangren facilmente. Si no se trata a tiempo se puede convertir en periodontitis

PERIODONTITIS

Es la infección más grave de los tejidos que rodean a los dientes, que involucra a la encía y el hueso. Al afectarse el hueso los dientes pierden soporte y estos se empiezan a mover. Si no se trata a tiempo causa la perdida de uno, dos o incluso todos los dientes

REHABILITACIÓN TOTAL SOBRE IMPLANTES

Procedimiento odontológico que implica la restauración funcional y estética de dientes perdidos utilizando implantes: pequeñas estructuras de titanio que se insertan en el hueso maxilar o mandibular, actuando como raíces artificiales

ALARGAMIENTO DE CORONA ESTÉTICA

Procedimiento dental que implica la remodelación de las encías. Se realiza para mejorar la apariencia estética de la sonrisa al corregir encías excesivamente grandes, asimétricas o irregulares, con herramientas especializadas para eliminar el exceso de tejido gingival y dar forma a las encías de manera más armoniosa alrededor de los dientes

Dr. Alejandro Rodríguez del Rey

Soy dentista con especialidad en Periodoncia e Implantología Oral, egresado de la UNAM. Con una sólida formación académica y años de experiencia clínica, se destaca por su compromiso con la salud bucal integral y su enfoque experto en el tratamiento de enfermedades periodontales y la colocación de implantes dentales